Cosmetic Dentistry
A beautiful smile is one of the most sought after cosmetic features in the world. People from all backgrounds and professions want a bright, straight smile, and we are here to help turn that desire into reality. Whether through minor adjustments or major treatment plans, our cosmetic dentistry practice aims to improve your smile and help you build confidence in the way your teeth look.

Full Mouth Reconstruction
We usually recommend complex full-mouth rehabilitation when patients have multiple problems in their mouths. We help people who are suffering from gum disease, discoloration, tooth decay, crooked teeth, and other problems, usually all at the same time.
Before we start your rehabilitation, we will need to do a thorough examination with X-rays to determine what treatments you will need. Since every mouth is different, we create a treatment plan just for you.

All-On-4 Implants
All-on-4® treatment provides patients with a full-arch prosthesis over four implants on the day of surgery. All-on-4® is designed to give edentulous patients full function of their mouth and full mouth restoration. It’s heavily advertised as providing 4 implants, but some situations may require more.
All-on-4® overdentures reduce the complexity of treatment, the number of surgeries, and the overall treatment time. It is less expensive compared with fixed implants.
All-on-4® dental implants, also known as hybrid dentures, use high-end denture teeth and acrylic for the best aesthetics, making it the most cost effective choice for any future repairs.

Veneers
Porcelain Veneers are wafer-thin, custom-made shells of tooth-colored materials designed to cover the front surface of teeth to improve appearance. These shells are bonded to the front of the teeth changing their color, shape, size, or length. We recommend this treatment to anyone experiencing discoloration that cannot be fixed with whitening or if your teeth are damaged. Porcelain veneers are also an option if you’re unhappy with the shape or look of your natural teeth.
request an appointment
Dentures
If you are missing teeth, dentures can provide a positive solution to improving your oral health. We are proud to provide dentures that are designed to fit your mouth for proper function and unique comfort. Following your appointment, we will provide you with information on at-home care for your dentures. We strongly recommend scheduling follow up appointments for periodic denture cleanings.
request an appointment
Denture Partials
A removable partial denture is an optimal solution for patients who may be missing one or more teeth in a particular area of their mouth. Removable partial dentures are attached to a gum-colored base which may have a metal framework that helps to hold it in place against the surrounding teeth. These dentures serve to replace missing teeth, restore functionality, and generally improve oral health. When a tooth is lost, and the gap isn’t immediately filled, it can lead to the neighboring teeth to shift; this can create a significant change in your bite and can even cause long-term damage to your gums and jaw bone.
To begin treatment, we will determine if removable partial dentures are the best option for you. Factors such as oral hygiene, the location of the missing tooth gap(s), bone strength, and long-term viability for dentures all determine your treatment plan. Our team will start by taking dental impressions of your teeth which will serve as the mold used to create your dentures. Next, we will review the size, shape, and coloring of each replacement tooth to recreate your natural smile. Once these are determined, we send the molds to a dental lab which creates a mock-up partial denture for you.
During a fitting appointment with our team, we will have you test out the mock-ups to check how they fit, look, and feel in your mouth. This is the time you and our team will make adjustments to the fit or color of the teeth before sending the mock-ups back to the lab for alterations. Remember, your absolute honesty is needed as your feedback shapes the final removable partial denture you will be receiving. Once the final changes have been made to the mock-up, the lab will custom build your dentures. After we receive the final design, your last fitting session will be to make small adjustments for comfort, bite, or fit which can all be made in-house by our team.

Porcelain Crowns
Getting porcelain crowns is the best way to have a very natural looking smile. They are used when simply filling in a tooth is not an option. There are times when they decay is so bad that we just have to use a porcelain crown. We also use them with severely damaged teeth or teeth that have already had multiple fillings. Porcelain crowns are attached right to your teeth so that they can function, even when you bite something really hard! There are several types of porcelain crowns so it is important to discuss which type is best for you with your dentist.
request an appointment
Bonding
Dental bonding is the procedure where we apply a tooth colored plastic material to a patient’s tooth. Using a special light, the material hardens and bonds the material to the tooth.
Dental bonding is used to improve a patient’s smile. It can be used on cracked and decaying teeth. It also can be used for cavities. It can be used to change the shape and size of your teeth so you have a more uniform smile! It is also commonly used for receding gums by protecting the exposed teeth!
request an appointment
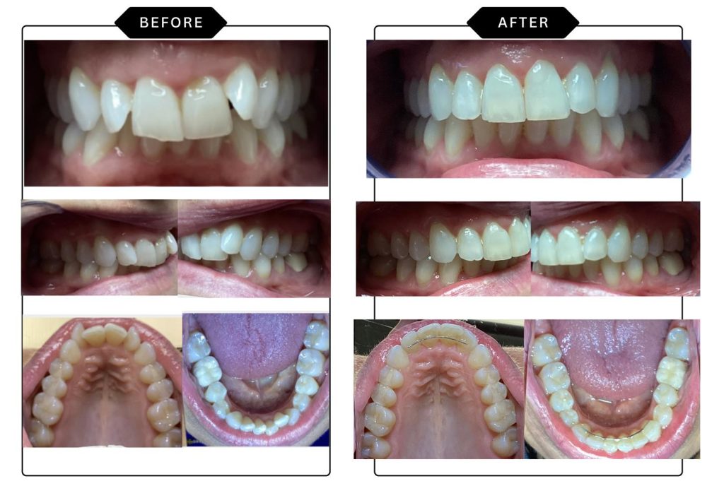
SureSmile® Clear Aligners
SureSmile® Clear Aligners are a modern orthodontic treatment designed to straighten teeth using a series of custom-made, transparent aligners. Created with advanced digital scanning and treatment planning technology, each aligner is precisely engineered to gradually move teeth into their ideal position. The aligners are removable, comfortable, and virtually invisible, making them a popular option for teens and adults who want to improve their smile without the appearance of traditional metal braces. Treatment with SureSmile Clear Aligners typically involves wearing each set of aligners for about one to two weeks before switching to the next in the series. Because they are removable, patients can eat, brush, and floss normally, which helps maintain good oral hygiene throughout treatment. With consistent wear as recommended by the dental professional, SureSmile aligners can effectively correct many common orthodontic concerns such as crowding, spacing, and bite alignment while offering a discreet and convenient path to a healthier, more confident smile. request an appointment
